Webmaster

webmaster`s office

Veneer

Ästhetik und Funktion

“Verblendschale” oder “Veneer”

 

Veneer 12 von Dr. Christian Edlhuber

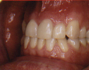
Ausgangssituation

lückige Front

Präparation

Säureätztechnik

Endresultat

geschlossene Front

[Home] [Veneer] [Okklusion] [Material] [Impressum]