Webmaster

webmaster`s office

Okklusion

Ästhetik und Funktion

Cerec_Onlay 16 von Dr. Christian Edlhuber

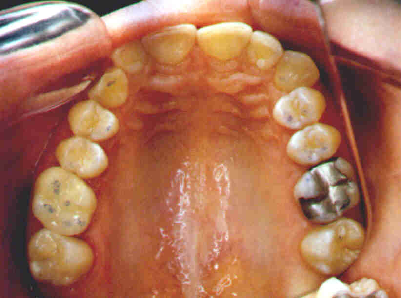
Cerec-Onlay an Zahn 16

zum Vergleich Amalgamfüllung an Zahn 26

Einwandfreie Funktion wie die Zentrik-Kontakte zeigen

[Home] [Veneer] [Okklusion] [Material] [Impressum]